The Best Cosmetic Dentist in St Charles, IL
Transform your smile with expert cosmetic dentistry in St. Charles, IL. We just won an award for being the Best Cosmetic Dentist in St Charles! Schedule your complimentary consultation today!
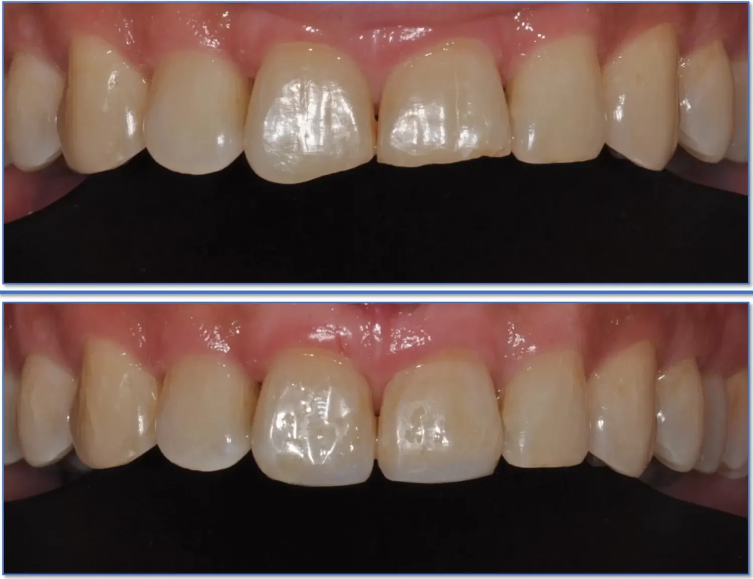
See our Smile Gallery Page for REAL Before and After photos! And see our FAQ’s below!
-
A. Cosmetic dentistry at Teuscher Legacy Dental focuses on improving the appearance of your teeth, gums, and overall smile—while still maintaining (or enhancing) your oral health.
While your smile and facial esthetics are the priority, what separates trained cosmetic dentists from the rest is the ability to make cosmetic dentistry work with your unique bite long term, so your jaw joint is comfortable and the dental work lasts.
General dentistry handles preventive care, cleanings, gum disease treatment, cavity work (fillings, crowns, etc), and overall dental health. Cosmetic treatments—veneers, bonding, smile makeovers—are usually elective enhancements. We always apply the same standards of health, function, and safety with cosmetics. -
Costs vary based on the type and amount of treatment. And every plan comes with a detailed quote before we start, including what insurance may cover. Many of our patients say the confidence they gain is priceless — and we offer flexible payment options to make that possible.
Here are some ballpark costs to get you started (gross fees before insurance benefit)
Veneer: $2,250 per tooth
Crown: $2,250 per tooth
Bonding: $500 per tooth
Invisalign for front teeth: $5,000
-
If you’re looking for the cheapest cosmetic dentist, we’re likely not the right fit — and we’re up front about that.
While we are not close to the most expensive you’ll find, you’ll certainly be able to find cheaper options out there.
At Teuscher Legacy Dental, our fees reflect:
Advanced, specialized training in aesthetic and functional reconstruction
Award-winning care (named Best Cosmetic Dentist in St Charles in 2025 by BusinessRate, among other awards)
Customized smile design, not one-size-fits-all treatment
The kind of dentistry built to last, not just look good for a little while
That said, we’re not for everyone. If your top priority is finding the lowest price, we’ll respect that — and we’re happy to help you understand your options, even if you don’t choose us.
-
Absolutely. With our Digital Smile Design, we can simulate how your future smile will look — before even touching a tooth! It’s just a few photos and no obligation. It’s one of the best ways to visualize your transformation and get excited about your results, while also ensuring you’ll love it!
-
Usually not if it’s purely aesthetic. However, if the treatment improves function (e.g., bite issues or damaged teeth), some portions may qualify. Our team works hard to get you every penny you can from your insurance company!
We’ll also help you review your benefits and explore financing options.
-
We offer a full spectrum of cosmetic dentistry, including:
Bleaching or Tooth Whitening - We have a few tiers of whitening options depending on your unique desires!
Porcelain veneers – to reshape and beautify teeth
Dental bonding – a less invasive way to fix chips, gaps, or stains
Invisalign® clear aligners – to straighten teeth with minimal visibility. We also can do traditional braces when necessary.
Dental implants – to replace missing teeth in a permanent, natural way
See a detailed example of one of our real implant cosmetic case here.
Full‑mouth rehabilitation / smile makeovers – when multiple elements need improvement, especially pertaining to worn teeth from your bite or grinding!
Zirconia crowns and other aesthetic restorations
All of these are integrated with health, structure, and your facial characteristics in mind. (You can see real patient smiles in our gallery.)
-
Yes — and you’re not alone. Worn teeth can be caused by grinding (bruxism), acid erosion, bite and jaw alignment, or age.
At Teuscher Legacy Dental, we:Identify the root cause (so it doesn’t keep happening)
Rebuild structure using durable materials like porcelain or zirconia
Design restorations that restore length, function, and beauty
Worn teeth aren’t just a cosmetic issue — they affect your bite and long-term health. We handle both, and have advanced training both in cosmetics and occlusion (bite force management).
-
That’s exactly what our complimentary consultation is for. We listen first — then use tools like Digital Smile Design to preview options and help you choose the path that fits your smile goals, budget, and timeline. No pressure. Just clarity.
In general though- bonding is less expensive but tends to have the shortest lifetime. Veneers and crowns are more expensive but last longer. Crowns are sturdier especially when teeth already are worn down. Veneers have the advantage of keeping as much natural tooth as possible.
-
No, not typically. Most treatments are done under gentle numbing, and our advanced techniques make healing easy. It’s possible you’d have some temporary sensitivity, but we’ll guide you through everything so you feel confident, not anxious.
For our especially anxious patients, we offer oral sedation to help them feel comfortable. -
Smaller updates (like bonding): 1–2 visits
Larger plans (veneers, implants, alignment): a few weeks to a few months
We tailor the timeline to your goals! We’ve often helped patients who are under a deadline, or need a new smile before their big day!
-
Yes — especially when done with high-quality materials and proper bite alignment. Veneers, crowns, and implants can easily last 10–20 years or longer with regular care and checkups. We’re in it for the long haul with you.
-
Even if you’ve been told “nothing can be done,” come talk to us first.
If you’re healthy, motivated, and want to improve your smile — you're likely a great candidate. We’ll assess your oral health and goals to make sure the treatment is right for you.
Looking for Porcelain Veneers, Dental Bonding, Invisalign Clear Aligners, Dental Implants in St Charles, Campton Hills, Geneva, Batavia, Elgin, and Elburn Illinois? We do a variety of cosmetic dental services. We have you covered.
👉 In fact, here’s a recent cosmetic case done for a St Charles, IL resident, that inludes orthodontics, esthetic crowns, and an immediate implant. The case is detailed start to finish in our video and blog post!
Smile Makeovers in St. Charles — Designed for You
Cosmetic dentistry at Teuscher Legacy Dental isn’t just about a beautiful look — it’s about how you feel. Every smile makeover we create in St. Charles is designed to fit your unique features naturally and beautifully, boosting your confidence for life.
See Your New Smile Before Treatment with Digital Smile Design
Experience Digital Smile Design at Teuscher Legacy Dental in St. Charles, IL — a risk-free way to preview your future smile. See your cosmetic dentistry results and feel confident before any treatment begins!
We offer a full range of advanced cosmetic dentistry services, including porcelain veneers, Invisalign clear aligners, dental implants, and full mouth rehabilitation — helping patients throughout St. Charles achieve stunning results.
Top Cosmetic Dentist for St. Charles, Geneva, Campton Hills, and Beyond
Conveniently located off Route 64, Teuscher Legacy Dental serves St. Charles, Geneva, Elgin, Batavia, Elburn, and surrounding areas with expert cosmetic and family dentistry.
These are not stock photos like you’ll see on other websites. These are our real patients smiles. This is why families across Kane County trust Teuscher Legacy Dental. Check our Google Reviews!

