Dental Implants at Teuscher Legacy Dental
Dental Implant surgery and restorations with our award-winning team. Serving St Charles, Campton Hills, Elburn, Geneva, Elgin, and the entire Kane County area!
Dr Brayden Teuscher discusses Dental Implants
Free Dental Implant Consultations- A $350 Value!
Teuscher Legacy Dental does tooth extractions, bone grafting, implant placement, and final restoration all in our Campton Hills office!
But we also know dental implants aren’t for everyone. And you may have questions about the cost, timeline, or possible complications! We handle the whole process, from extraction and graft, to implant surgery, to final restoration. See our Frequent Implant Questions below for a full guide, even if you won’t see us for your treatment.
-
A: The REAL PRICE RANGE for a single dental implant is between $5,200 to $7,000 total (including the post, abutment, and crown) This is an accurate price range in the Kane County, Illinois area. At Teuscher Legacy Dental the real prices for the implant, custom abutment, and final crown add up to just under $6,100. No extra fees.
Don’t get taken advantage of with hidden fees! For a way more detailed price breakdown, and what to watch out for when searching for dental implant prices, see Dr Brayden’s dental implant cost blog post.
-
A: There are a few options. Most common are 1) don’t replace the missing tooth 2) a fixed dental bridge 3) a removable partial denture. There are good reasons to choose one of these! Way more detail on benefits of each of these alternatives in Dr Brayden’s Alternatives to Dental Implants blog post.
-
A: Before dental implant surgery, here’s what to know:
Medications: You may be prescribed antibiotics, anti-inflammatories, or a mild steroid. Take these exactly as directed—usually beginning the morning of surgery
Sedation & Driving: If sedation is planned, arrange a ride to and from the office. Don’t drive or operate machinery for 24 hours afterward.
Lifestyle Factors: Smoking and alcohol interfere with healing. Ideally, avoid both for at least several days before and after surgery.
What to Eat Beforehand: Have a light meal unless instructed otherwise. Stock your fridge with soft, cool foods (yogurt, smoothies, mashed potatoes, eggs, soup) for afterwards.
What to Wear: Comfortable clothes. Short sleeves if you’re receiving IV sedation. No need to dress up!
A: After dental implant surgery, here’s what to know:
Bleeding/Oozing: Light bleeding is normal for 24–48 hours. Keep firm pressure for 20 minutes at a time will help blood to clot.
Swelling & Bruising: Usually, swelling and bruising are minimal. But if you have some, it should peaks around 48–72 hours afterward. You can use ice packs (15 minutes on, 15 minutes off) during the first 24-48 hours. Switch to warm compresses after 2–3 days.
Discomfort: Expect mild soreness, typically managed with ibuprofen or other prescribed pain relief. If you are just getting one or two implants placed, discomfort should be relatively mild.
The BEST pain relief tends to come from a combination of ibuprofen and tylenol. If it’s safe for you medically, then a great protocol is 600mg ibuprofen, then 4 hours later, 500mg tylenol. and rotate those medications every 4 hours. This is almost always better pain relief than a narcotic would provide.
Diet: Stick to soft foods for several days. Avoid hot, crunchy, spicy foods, or straws the first day to protect healing. (Straws may suction out the blood clot)
Activity: Rest for 24 hours. Avoid heavy exercise for 48 hours. Light walking is fine. If the area starts to throb, you should back off.
Oral Hygiene: Brush and floss normally, but avoid the surgical site for 24 hours. After the first day, you can gently rinse with warm saltwater if comfortable.
What to eat afterward: Soft, nutrient dense foods. Veggie smoothies are a good option! Avoid things that could get caught near the healing implant, like chips or popcorn. Hydration with electrolytes is ideal.
WAY more information on how to prepare for dental implant surgery and what to expect after dental implant surgery in Dr Brayden’s What to Expect After, and How to Prepare For Dental Implant Surgery blog post.
-
A: Like a natural tooth, dental implants can get gum infections around them if poorly maintained. If gum quality is poor, there is a possibility of unesthetic gum recession around the implant. Other surgical risks are related to bone and gum quality before surgery. For WAY more information on possible complications, see Dr Brayden’s Dental Implant Risks and Complications blog post.ption
-
A: The total timeline is usually between 4-7 months, but every case is different. Factors influencing timeline include patient medical history, whether bone grafting is needed, and where in your mouth the implant goes.
Way more information in Dr Brayden’s Implant Healing Timeline blog post.
-
A: Yes! Here is a detailed video and break down of an immediate implant in a cosmetic case we did recently for a patient from St Charles, IL.
Full arch dentures or single tooth replacements at Teuscher Legacy Dental
Located in Campton Hills, IL at the corner of Route 64 and LaFox Road. We serve the entire Fox Valley area. We expertly place and restore dental implants, all in our beautiful new Campton Hills office.
Frustrated with loose dentures? Have a single decayed or infected tooth to replace? Schedule your free consultation today!
✅ Looking for Dental Implants near St Charles, Illinois? See Teuscher Legacy Dental!
Award-Winning Fox Valley Dentists with precision training in implant placement 🏆
3D Imaging & Guided Placement for more predictable results 🔍
Comfort-Focused Experience with sedation options available 🪑
One-on-One Guidance with clear answers and no pressure 🌟
Convenient Campton Hills location 🗺️
Implant Placement and Restoration all in our office - no need for multiple other offices in most cases! 🏥
Your smile is a Legacy worth investing in!
State of the Art Technology in a warm, rural setting
3D Cone Beam CT Imaging (CBCT)
Digital Implant Planning Software
Option for Guided Implant Surgery
Premium BioHorizons® implants
Precision-Matched Restoration
Patient-Centered Comfort
Our patients from all around Kane County love the convenient location of our office and the expert level care we provide!
Dental Implants at Teuscher Legacy Dental isn’t just about a tooth replacement - it’s about predictable, long lasting results.
Fox Valley Residents: Are Dental Implants Right for You?
You may be a candidate for dental implants if you:
Have one or more missing or failing teeth
Want a fixed, long-lasting solution
Are tired of teeth decaying or having problems one after another
Are in good overall health with enough bone (or are open to grafting)
Are tired of removable dentures or bridges
Top Rated Dentist in the Fox Valley area
Conveniently located off Route 64, Teuscher Legacy Dental serves Kane County and surrounding areas, creating beautiful, natural smiles. Experience expert dental implant, cosmetic, and family dentistry.
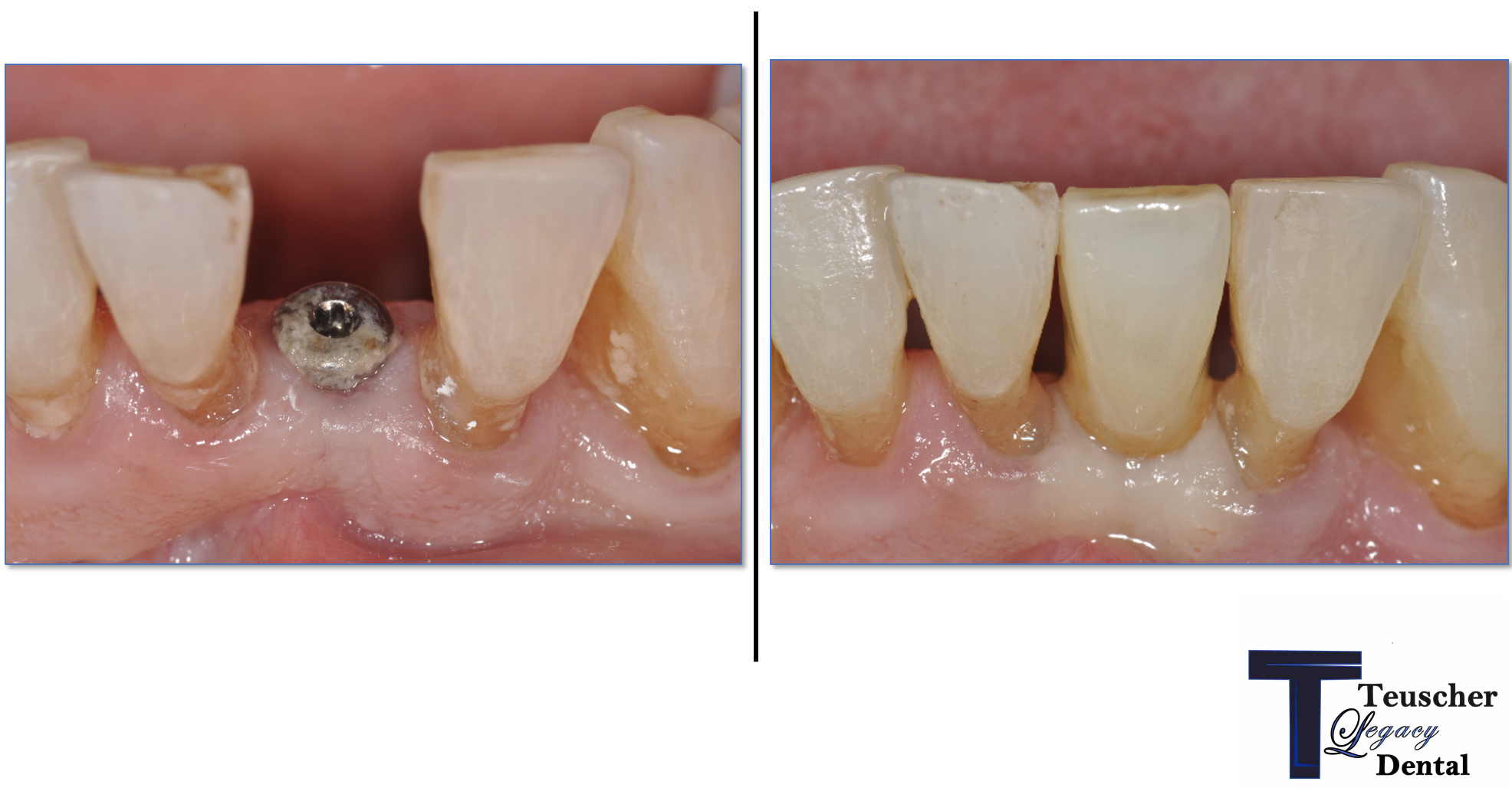
The before and afters we show are not stock photos like you’ll see on other websites. These are our real patients smiles, all neighbors in the Campton Hills area. This is why families across Kane County trust Teuscher Legacy Dental. In fact, we won an award for The Best Cosmetic Dentist in St Charles, Illinois. Check our Google Reviews!
Teuscher Legacy Dental places and restores dental implants for patients from St Charles, Geneva, Campton Hills, Elburn, and the entire Fox Valley area!
✨ BONUS: More Dental Implant Resources from Dr Brayden Teuscher ✨
Dr Brayden Teuscher details a real dental implant case from Teuscher Legacy Dental
Here’s why you may NOT want to see Teuscher Legacy Dental for your dental implants!


