Tooth Extractions in St Charles, IL
Gentle tooth extractions in our comfortable St Charles Office
⭐️⭐️⭐️⭐️⭐️ I was absolutely terrified of the dentist before I found Teuscher Legacy Dental. I just had my wisdom tooth extracted here and they made me feel so comfortable. There’s no better dentist out there.
- Kilye C. from St Charles, IL
Easy, gentle tooth extractions at Teuscher Legacy Dental
If You aren’t sure about a tooth extraction, Start Here: Do you really need a tooth pulled?
You might not! To figure out if you even need a tooth extraction, Click the link above for our free blog post with more information!
Still aren’t sure? Book a Free Consult using this link!
If it turns out you do need a tooth pulled, Teuscher Legacy Dental Can Help! We handle extractions every day - gently, precisely, and with a long-term plan for your health.
Our team combines advanced imaging, precise anesthesia techniques, sedation, and years of surgical experience to ensure your procedure is gentle, efficient, and stress-free.
When Is a Tooth Extraction Needed?
You may need an extraction if you’re experiencing:
Severe tooth pain or infection that can’t be treated with a root canal
Advanced decay or fracture below the gum line
Crowding before orthodontic treatment
Failing or loose teeth due to bone loss
If you’re unsure, we’ll help you determine whether the tooth can be saved — or if extraction is the best path toward healing and restoration.
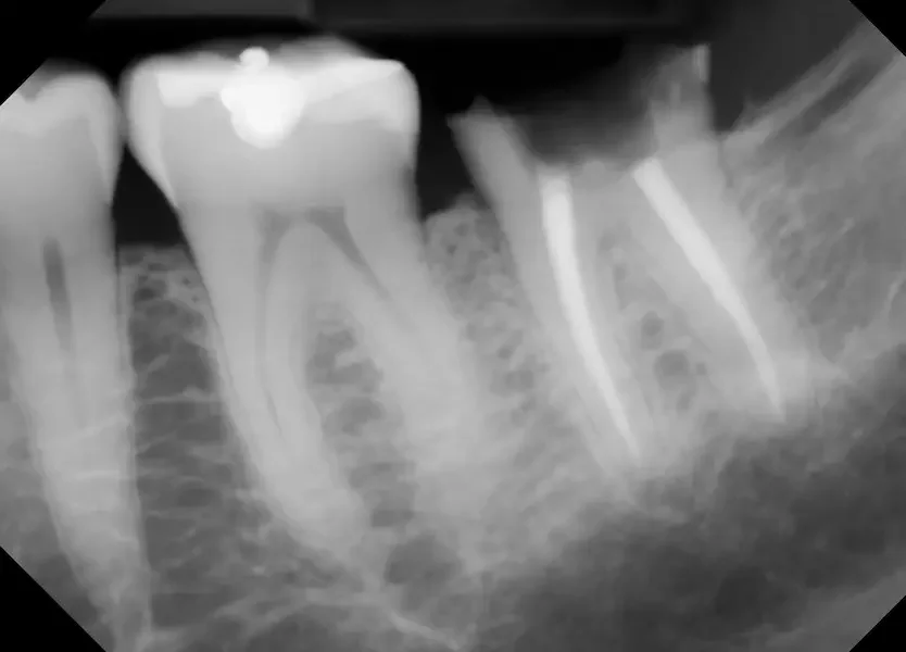
A real patient X-Ray of a tooth needing extraction. There is not enough tooth structure above the gumline to predictably save the tooth!
Comfort Comes First
We take time to explain every step and answer your questions before beginning.
You’ll notice our calm, modern environment and a team that genuinely cares about your comfort.
Our doctors use:
Local anesthesia for pain-free extractions
Gentle techniques that preserve bone and gum tissue
Oral Sedation options when appropriate
Clear after-care instructions for smooth healing
“It’s not just about removing a tooth — it’s about protecting your health and setting the stage for your next smile.”
What Happens After a Tooth Extraction?
A real patient example: the tooth from above was extracted and a bone graft was placed. This is not always needed!
Your next step matters. Once the tooth is removed, the surrounding bone naturally begins to shrink.
To preserve your bone and your smile, most patients choose a socket preservation bone graft immediately after extraction.
UPGRADE: Bone Grafting makes future implant placement far more predictable — and prevents the “sunken” look that can occur when bone resorbs.
👉 Learn more: A real bone graft case after an extraction at Teuscher Legacy Dental
We were awarded Best of the Fox Valley - Dentist in 2024!
Should You Replace Missing Teeth with Dental Implants? Maybe Not!
If you’re planning to replace your tooth, a dental implant is often the most natural, long-lasting solution. But not always! Read more about alternatives here.
Dental implants can restore both form and function — letting you chew, smile, and speak confidently again.
Explore your dental implant options here:
👉 Dental Implants in St. Charles, IL »
Schedule Your Consultation
If you’re experiencing tooth pain or think you might need an extraction, we’ll help you understand your options — including ways to save the tooth if possible.
📞 Call or Text us today: 630-762-0000
or
📅 Request an appointment online: Schedule Now »
Serving St. Charles, Campton Hills, and Surrounding Communities
Our office is conveniently located near the intersection of LaFox Rd. and Rt. 64, serving families throughout St. Charles, Campton Hills, Geneva, Elburn, and South Elgin.
When you walk through our doors, you’ll feel the difference — respectful, modern care that treats you like family.
Getting Here from Downtown St Charles
We’re minutes from the Fox River in Downtown St Charles.
Address: 40W131 Campton Crossings Dr, St. Charles, IL 60175
Parking: Free lot parking by the front entrance.

