Awarded Best Cosmetic Dentist in Kane County, IL (2026): Why This Matters for Your Smile
We Won Again — But This Time, It’s Bigger
Last year, we were honored to be named Best Cosmetic Dentist in St. Charles, Illinois.
This year, that recognition expanded.
Teuscher Legacy Dental has been named “Best Cosmetic Dentist in Kane County, Illinois” for 2026.
That means patients across St. Charles, Geneva, Batavia, Elburn, South Elgin, and surrounding communities are choosing our office—not just for cosmetic dentistry, but for the experience.
And if you’re researching cosmetic dentistry, here’s the honest question you should be asking:
What actually makes a cosmetic dentist “the best”?
What This Award Actually Means (And What It Doesn’t)
The “Benchmark” tag means we are the top Cosmetic Dentist overall in Kane County
This award is powered by Google Reviews and REAL patient feedback, aggregated through BusinessRate. It takes the review content (the words), volume, overall rating, and longevity into account! We didn’t win this award overnight.
That matters, because it’s not bought and it’s not based on advertising spend. It’s based on real patient experiences and reviews.
**And, we don’t pay patients for reviews. Most dental offices will give you a discount, enter you in a raffle, or literally pay you to write a good review. But that’s actually against Google and other review sites’ policy, and is unethical.
Why that’s important:
Patients evaluate the end result. But also:
They evaluate how they felt the entire duration of treatment
They evaluate whether they trusted the team and doctors
And whether they would recommend us to their family
According to research from the American Dental Association, patient satisfaction and trust are among the strongest predictors of long-term dental outcomes.
So when hundreds of patients consistently say:
“This is where I feel cared for”
That’s what this award represents. And we are so thankful to our patients for their feedback!
What Patients Actually Want From Cosmetic Dentistry
Most people don’t come in asking for veneers or another specific treatment.
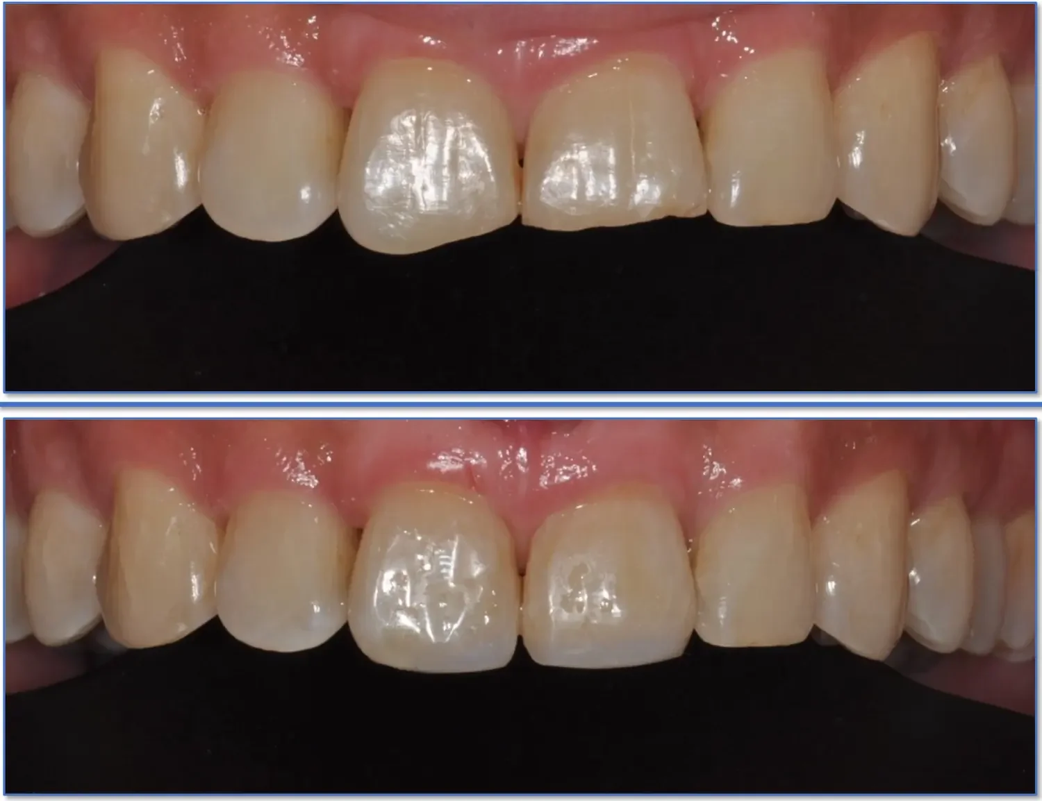
A real example of dental bonding at Teuscher Legacy Dental
They come in saying:
“I don’t like to smile in family photos”
“My teeth look worn or aged”
“My grandkids have teased me about my teeth”
“I just want something natural”
That’s the real starting point.
Our philosophy is simple:
We don’t “sell” cosmetic dentistry.
We design smiles that:
Fit your face
Match your personality
And feel like you
Because the best cosmetic work is the kind people don’t notice… they just notice you look better.
What Makes Our Approach Different
There are a lot of dentists who offer cosmetic dentistry.
Very few do it at a consistently high level.
Here’s what we believe actually separates great from average:
Not everyone chooses orthodontics, but it can be a great way to improve your smile!
1. Planning Before Doing
We use Digital Smile Design so you can see your result before we ever start.
No guessing. No surprises.
2. Conservative, Not Aggressive
We are experts at preserving natural tooth structure whenever possible.
That means:
Whitening when appropriate
Dental bonding in certain situations
Veneers or crowns only when they’re truly the best option
3. Experience You Can Feel
This is where most people notice the difference between our office and other high-end cosmetic practices in Chicago or New York.
They leave saying thrilled with the result, but also:
“Teuscher Legacy Dental listened, and they took care of me.”
Full arch cosmetic veneers. A huge confidence boost! It can literally be life changing.
Real Results (What You Should Expect)
When cosmetic dentistry is done right:
Your smile looks natural—not fake
Your teeth fit your face—not someone else’s template
You feel more confident without thinking about it
That’s the goal.
The Bigger Picture: Why This Matters for You
Awards are nice, but they only matter if they answer one question:
“Is this the right place for me?”
Here’s the honest answer:
If you want:
The cheapest option
Fast, high-volume cosmetic work
Or something “good enough”
We’re probably not the right fit.
But if you want:
Thoughtful planning
Natural, long-lasting results
And an experience where you feel genuinely cared for
Then this is exactly what we’ve built our practice around.
Frequently Asked Questions
Is cosmetic dentistry worth it?
There are two things to consider. Will cosmetic dentistry improve your confidence, smile, and quality of life? Yes. Studies published in journals like the National Institutes of Health show improvements in confidence, social interaction, and perceived quality of life after smile improvements.
Will it be “expensive”? Sometimes. There are always a range of options. Some patients choose a $70,000 brand new mouth. Others get a few simple bondings done for a few hundred dollars. We will always tailor solutions for your unique situation, including timeline and budget.
How long does cosmetic dentistry last?
It depends on the treatment:
Whitening: months to a few years
Bonding: Most often 3–7 years before visible staining at margins
Veneers or crowns: 10–20+ years with proper care
What’s the first step?
A free consultation. No commitment, just a conversation about what you want—and whether it makes sense.
If You’re Considering Cosmetic Dentistry in Kane County
You’re doing the right thing by researching.
Take your time.
Look at real cases. Make sure the website isn’t posting AI or “touched up” photos.
Ask questions.
Make sure you trust the person doing the work.
If you want to see what your smile could look like before making any decisions:
👉 Click here to book your Free Digital Smile Design Consult
(Or call us at 630-762-0000)
Final Thought
Winning this award again—on a larger scale—is meaningful to us.
But what matters more is this:
Every single patient who walks through our doors should feel like they made the right decision.
That’s why we were awarded the Benchmark Standard award. And that’s what we’ll continue to build.

