6 Days After Tooth Extraction and Bone Graft — What’s Normal?
Published February 24th, 2026
If you just had a socket preservation extraction and bone graft 5-6 days ago, you may be asking:
“I’m nervous this isn’t healing correctly. Are my symptoms normal?”
If you’re less than 1 week out from an extraction and bone graft, this article will help show what’s normal and what’s concerning, using real patient photos from our St Charles, Illinois dental practice.
Healing Timeline Guide: (Bone Graft Healing Timeline)
Days 1-3: Blood clots, localized swelling, early inflammation. Some soreness is normal, often peaking day 2-3.
Days 5-6 (this article): Transition from blood clot to granulation tissue (where you’re at now)
Week 1: Granulation tissue forms. Soreness gradually getting better.
Weeks 2–3: Gum tissue strengthens, pink color normalizes
Months 1-4: Bone begins to consolidate and strengthen
Months 4–6: Implant readiness (case dependent)
Before Procedure: Abscessed Root Canal Tooth
This case involved tooth #3, an upper molar that had an abscess caused by a large cavity. The tooth was broken at the gumline. The tooth had an old root canal as well.
Before the tooth was removed, there was an abscess visible in the X Ray. This tooth was broken at the gumline for some time, but not bothering the patient (it was not causing pain, and she could chew comfortably with her remaining teeth). But she was aware of the risks with an abscess like this, and wanted to get it taken care of.
The risks in not treating a tooth abscess:
While this tooth wasn’t causing pain at the time, the X-Ray shows a periapical abscess (infection around the roots). This is a bacterial infection that will not resolve on its own and, if left untreated, can continue to spread beyond the tooth and surrounding bone. In some cases odontogenic infections extend into adjacent tissues and fascial spaces, potentially leading to complications such as facial swelling, airway compromise, systemic spread (including sepsis), sinus involvement, osteomyelitis of the jaw, and other serious outcomes documented in the dental literature when abscesses are not definitively treated. In other words, there’s risk an infection like this “blows up” and causes significant damage.¹ ² ³
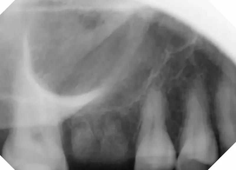
X Ray before Extraction. Notice the darker area around the roots of the root canal treated tooth- that’s where the infection is.
Picture of the tooth. Notice the darkness (decay) in the center of the tooth. This is the infection’s source. There is not enough tooth left to predictably save with a crown.
Immediately After Procedure: How is a bone graft supposed to look?
We got the patient numb and easily removed each of the three tooth roots. Once the tooth was removed, the infected tissue inside the socket was physically scooped out with a tiny spoon instrument. This step is critical, however, because the infection was so close to the patient’s sinus, gentle care was necessary to not damage the sinus. Because there is almost always some residual bacteria in these cases, an antibiotic was also prescribed to support full bacterial clearance from the abscess and prevent infection of the bone graft afterward.
This patient plans to replace this tooth with a dental implant. While evidence is clear a bone graft greatly increases future implant success, it’s also true that not every tooth extraction requires a bone graft. After cleaning the socket, a bone graft was placed to help preserve bone and support future healing.
In this case we used a cadaver bone particulate mix with a collagen plug over the top to help blood to clot. Some white PTFE sutures were used to stabilize the collagen and gum tissue.
X Ray showing where the tooth used to be, now filled with bone graft particles after extraction at Teuscher Legacy Dental.
Photo immediately after extraction and bone graft. The shiny red is a collagen material used to help blood clot over the graft. The white sutures blend into that material. This site is stuffed full- intentionally slightly overfilled with graft material. Some of the particles spill out, which is normal and will not cause any harm.
Before Week 1: What’s normal bone graft healing look like 5-6 days after surgery?
6 days after extraction and bone graft, the gums are slowly closing over the hole where the tooth used to be. The gums are not flat normally, there is a slight crater. The mottled yellow appearance inside the crater can look like infection, but this is normal healing of the gum and bone graft. It is immature granulation tissue.
At less than one week post-op, this extraction site looks exactly how we expect healthy healing to look. This particular patient came back 6 days after surgery.
It’s normal to feel:
A small crater or hollow where the tooth used to be
Slight soreness or tenderness, especially on healing gums around extraction site
That mottled yellow appearance inside the socket is normal. It is not pus or infection. It is immature granulation tissue- which eventually turns into healthy bone and gums.
What you should do at this point (before 1 week post op):
Keep taking perscribed medicines until finished (antibiotics)
As long as it is comfortable to do so, gently clean around the area as you brush your teeth.
Continue avoiding popcorn or other foods that could get lodged in the healing tissue
Monitor for large increases in pain or visible swelling
What you should expect to see and feel less than one week out:
Yellow, mottled tissue where the tooth used to be
Tenderness that is gradually improving. Usually patients wean off of advil/tylenol if they’ve been taking it.
Stitches may start to feel loose, if they have not dissolved already
Slight redness and swelling on gums around the site, but not so much that your face or cheek swells
Often, but not always, you feel better than before the extraction now that the infection is gone
What you should expect in coming weeks:
Gums slowly close fully over the site
Soreness continues to improve
See our full guide for more details:
Is Pain Normal At 5-6 Days Post Op?
Some soreness is normal, especially during the first week. But it should be gradually improving.
For our St Charles, Illinois patients, pain is well managed with over-the-counter medications like Advil or Tylenol.
When safe for the patient, a common approach is:
Ibuprofen (Advil) 400–600 mg
Four hours later: Acetaminophen (Tylenol) 500 mg
Continue rotating every four hours as needed
We go over this combination of medicines with all of our extraction patients, but most say they dont need it beyond a day or two.
(Always follow your dentist’s instructions and confirm these medications are safe for you.)
When Should You Be Concerned?
While a crater-like appearance and yellow healing tissue are normal before one week, you should contact your dentist if you notice:
Increasing pain instead of gradual improvement (especially throbbing pain)
Swelling that worsens after day 3–4
Foul taste or active drainage
Fever or feeling unwell
These are not typical signs of normal healing. Call your dentist and let them know.
Your partner in health,
Dr Brayden Teuscher
P.S. - If you’ve been told you need a bone graft or you’re wondering whether your things are healing normally, we can help.
If you’re in the Kane County, IL area, come see us for a free consult!
Sources:
1. Sanders JL, Houck RC. Dental Abscess. In: StatPearls [Internet]. Treasure Island (FL): StatPearls Publishing; Updated February 20, 2023. National Center for Biotechnology Information. Bookshelf ID: NBK493149. Available from: https://www.ncbi.nlm.nih.gov/books/NBK493149/
2. Neal TW, Schlieve T. Complications of Severe Odontogenic Infections: A Review. Biology (Basel). 2022 Dec 8;11(12):1784. PMCID: PMC9775288. doi:10.3390/biology11121784. Available from: https://pmc.ncbi.nlm.nih.gov/articles/PMC9775288/
3. Brizuela M, Daley JO. Oral Facial Infection of Dental Origin: A Guide for the Medical Practitioner. In: StatPearls [Internet]. Updated August 9, 2025. National Center for Biotechnology Information. Bookshelf ID: NBK542165. Available from: https://www.ncbi.nlm.nih.gov/books/NBK542165/

